


やわらかい入れ歯「シリコーン義歯」をご存知ですか?
シリコーン義歯は入れ歯の歯ぐき側(口腔内粘膜側)をバイオシリコーンという特殊なシリコン樹脂で内張りした入れ歯です。
このバイオシリコーンのやわらかさ(クッション性)が、今までの入れ歯にはない抜群のフィット感をもたらし、強く噛んでも痛みのない入れ歯を実現してくれます。
入れ歯が痛い・ガタガタする・馴染まないなど、
今まで抱え続けてきた患者さんのお悩みや問題を解消してくれる純日本製のとても優れた入れ歯です。
入れ歯を支える顎堤に問題がある等、通常の入れ歯では困難な方はぜひご覧ください。
どのくらいやわらかいの? 良好な弾力性をご確認ください。
院長制作! YouTube デンチャーTVもぜひご覧ください >>

当院が導入しているシリコーン義歯は株式会社ループ(歯科技工所)が開発したループシリコーンデンチャーです。
最大の特徴は、入れ歯表側のレジン(プラスチック材)と内側のバイオシリコーンの接着が科学結合により完全に一体化しているということです。
この接着技術は特許でもあり、他のシリコーン義歯のような“はがれやすい”という問題がほとんどありません。
義歯の耐久性が向上することはもちろんのこと、保険の義歯にも応用できる大変素晴らしい技術です。
![]()
当院はループシリコーンデンチャーが開発されるまでは、シリコーン義歯を患者さんに積極的に勧めていませんでした。
それは入れ歯の製作にこだわる当院ならではの“こだわり”で、どんなに丁寧に精密に型取り(印象)しても、高性能で繊細なシリコーン義歯がなかったためです。
ループシリコーンデンチャーは平均でも3年以上は長持ちします。
万が一、問題が起こっても入れ歯の状態や口腔内の状態に大きな変化がなければ、シリコーンの張替えだけで再使用できます。
シリコーン義歯の大革命
ループシリコーンデンチャー
やわらかくて、ぴったりフィットし、長期間使用できるこの入れ歯を、当院では多くの患者さんに提供しております。
そして、大変ご満足いただいております。
シリコーン義歯の多くは、院長考案の可動粘膜シリコーン吸着法により製作しております。

ループシリコーンデンチャーの特性や製作方法を熟知する歯科医師・歯科技工士がいれば、様々な義歯にシリコーンを応用することができます。
入れ歯の悩みや不具合は患者さんによって異なります。
歯科医師や歯科技工士にできることは、患者さんの状態を正確に把握し、シリコーンの特性が有効に機能する入れ歯を提供することです。

| シリコーンのクッション効果で噛み締めることができる |
| いつもやわらかいシリコーンの裏打ちで快適 |
| 入れ歯表側のレジン(プラスチック)と内側のシリコーンが一体化(科学結合)しているので、はがれにくい |
| 噛み締め効果が全身の健康に良い影響をもたらす |
| 口腔内粘膜だけでなく粘膜下組織に対しても優しいシリコーン素材 |
| 部分入れ歯では固定する金具(クラスプ)を使わないので、見た目が良く、歯への負担も軽い |
| メインテナンス性に優れており、長期使用はなお経済的 |
| 院長および歯科技工士がシリコーン義歯を熟知しているので、ぴったりフィットする入れ歯ができる |
| 同様に、保険の入れ歯・自費の入れ歯とも応用範囲が多彩 |

当院のシリコーン義歯について製作工程をご案内します。
やわらかい入れ歯にしても金属床義歯にしても、患者さんにピッタリ馴染む精度の高い入れ歯を製作するためには、どの工程も万全におこなう必要があります。
全工程に歯科医師や歯科技工士の思いがこもった入れ歯が“当院のシリコーン義歯”です。
入れ歯を使用されている方の場合は、使用中の入れ歯のお悩みや不満などをお聞きします。
口腔内の状態を検査し、既製の型枠を用いて1回目の型採りをします。
この型採りの目的は、患者さん専用の印象(型採り)用型枠を製作するためにおこないます。
また、入れ歯の製作方針を立てるためにも使用します。
入れ歯の製作方針を詳しく説明し、精密な2回目の型採りをします。この型採りでは1回目の型採りで製作した、患者さん専用の型枠を用います。
この精密印象により、患者さんの口腔内を忠実に再現した精巧な石膏模型を仕上げることができます。
前工程の精密印象より製作した作業模型を使用して、患者さんに合った“噛み合わせの高さと位置”を決めます(咬合採得)。
最適な噛み合わせは全身の健康に良い影響を与えるため、慎重に決める必要があります。
例えば、オーダーメードのスーツを仕立てる時に仮縫いの段階で試着し、必要であれば調整します。これによりビシッと極まったスーツができるのですが、入れ歯の場合も同様の作業をします。
それが仮床試適です。
仮床試適ではロウで作った入れ歯を用います。
このロウ義歯を患者さんに装着してもらい、歯並びや噛み合わせなどの問題をチェックします。
良く噛める安定した入れ歯は、噛んでも入れ歯が動かず、均等に圧力がかかります。
最後の型採り(咬合圧印象)では、実際に製作した入れ歯を装着して患者さんに噛みしめてもらいます。これは、圧力がかかった状態の粘膜面などの形状を調べるためにおこないます。
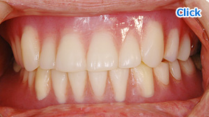
ぴったりフィットする、やわらかい入れ歯の完成です。
写真からわかるように、歯ぐきと接触するシリコーンがとても柔らかそうです。
患者さんの口腔内の形状を精密に反映したシリコーン義歯で、歯と歯ぐきの境も美しい入れ歯ができました。
自画自賛するほどの究極のシリコーン義歯です。
やわらかい入れ歯“シリコーン義歯”は工程ごとに精度を高めながら製作していくため、歯科医師の技術と信頼のおける歯科技工所、歯科技工士の熟練された技術は必須です。
とくに、
院長考案の可動粘膜シリコーン吸着法 >>
審美義歯製作法(歯科医師-歯科技工士連携作業)の術式 >>
ループのバイオシリコーン貼り付け技術(独自特許取得の接着機構) >>
を組み合わせて製作するシリコーン義歯は当院の完全オリジナルです。
これらの技術があってこそ、入れ歯を装着した当初からほとんど痛みのない、とても快適な入れ歯ができるのです。

当院のシリコーン義歯は、今まで歯科医院に行っても難しい症例という扱いを受け、自分にはもう満足のいく入れ歯はできないんだと諦めていた患者さんにもとても満足していただいております。

なぜ、満足していただける義歯ができるのか!?
これまで院長は多くの患者さんの入れ歯を製作してきました。院長の技術は患者さんや歯科技工士と一緒に入れ歯を作ることで培われてきた訳ですが、これはまだまだ発展途上であり、技術の発展に終わりはありません。入れ歯製作は歯科医師としての院長のライフワークと言っても過言ではありません。
ここでは、そんな院長が誇る義歯製作技術を簡単にご案内します。
可動粘膜は顎の骨とくっついていない可動性の歯ぐきのことで、この可動粘膜が多ければ多いほど入れ歯の吸着力は減少します。極度に額堤が萎縮しまうと、ほぼ100%の割合で可動粘膜の存在が認められるようになり、さらなる難症例となってしまいます。
総入れ歯自体に吸着力を求めることは非常に困難で、入れ歯安定剤を使っても下の総入れ歯がプカプカ浮き上がって飲み物さえもろくに飲めない方もいるくらいです。
内田式可動粘膜シリコーン吸着法は、患者さんの顎の状態を精査した後、治療用義歯(旧義歯を改造して製作)と粘膜調整材を用いて、入れ歯の床の外形や人工歯の配列、咬み合わせの状態などの調整を何度も微妙に補正しながら、入れ歯が吸着する僅かなポイントを手探りで探していく方法です。
治療用義歯での良好な義歯の吸着と口腔内への適応状態を確認できた段階で、その改造義歯の床の外形をそのまま新製義歯にコピー(転載)し、同時に旧義歯では補正しきれなかった部分の改良を新製義歯に組み込みます。
その際、顎・顔面との調和が図られるようになる審美義歯製作法(歯科医-技工士連携作業)の術式も併用し、顔貌の状態も良くしていきます。
入れ歯があまり得意ではない歯科医院では、歯科技工所に依頼する時に入れ歯と顎の位置関係だけで発注してしまいがちですが、これで入れ歯が仕上がるとくちびるがひっこんでしまったり、伸びて見えてしまうことがあります。
これは、入れ歯が合わなくてそのままにしている患者さんに意外と多く中には顎の位置関係が最初から狂っている方も結構おられます。
当院では、既に吸着(装着状態)が確認できている完成義歯を用いて、咬合圧をかけた(噛んだ)状態の動的な粘膜面の歯型採取をします。
この作業を機能印象と言い、ループのバイオシリコーンの義歯内面への貼り付け準備が完了します。
当院は、患者さんに本当に喜んでいただくことを目標に義歯製作にとことんこだわっております。
義歯製作を依頼する歯科技工所の選択も技術力を最優先しており、入れ歯を解剖学的観点から立体的に形成できる優秀な歯科技工士に依頼しております。
そのため歯科医師から歯科技工士に提供する情報も多岐に渡り、様々な情報の中から最良の義歯を製作していただいております。

| 入れ歯と顎の位置関係 | 歯軸の傾斜 |
| 入れ歯の中心線と顎の正中線の関係 | 入れ歯の厚み(見た目も重視) |
| 咬み合わせの状態 |
これらの情報を歯型模型や写真を混じえて細かく依頼します。

ループのバイオシリコーンの特徴は、レジンとシリコーンの接合部が科学的に結合し合着することです。
しかも、やわらかくて歯ぐきにやさしい適度な弾性があります。
入れ歯を設計・製作する高度な技術さえあれば、どなたにでも精密で安定した入れ歯ができ、驚くほどのフィット感を感じていただけます。
骨隆起は口腔内の顎骨の一部が球状に増殖したものです。外骨症とも言い、上顎の口蓋部(お口の天井部分)にできる口蓋隆起と、下顎の内側にできる下顎隆起が主なもので、部分的には上顎の真ん中あたりや下顎の舌の両脇付近に良く認められます。
患者さんの中には大きな骨隆起がたくさんある方もおられます。
腫瘍ではないのでそのままにしていても病的な問題はありませんが、入れ歯の当たり(隆起した骨の部分の上皮は薄くなるため)がとても出やすく、どうしても骨隆を避けた入れ歯の設計になってしまうため、入れ歯の吸着力(フィット感)が著しく低下してしまいます。
このような患者さんには当院のシリコーン義歯をお勧めしています。
患者さんの口腔内の状態を見極て製作するので、痛みのない使いやすい入れ歯ができます。

この患者さんは60代の女性で骨隆起があり入れ歯の装着感にお悩みでした。
ホームページで当院を知り来院されたのですが“ふっくらした口もとになりたい”といった希望もお持ちでした。
院長考案のあらゆる難症例の萎縮した顎提にも有効な可動粘膜吸着法の応用と優秀な歯科技工士とのハイクォリティな共同作業により、ぴったりとフィットした、見た目の自然な素晴らしい上下総入れ歯を製作することができました。
![]()
シリコーン義歯の緩衝効果は大変素晴らしく、「噛み過ぎ炎症による顎堤の退縮」を最大限に抑制でき、義歯の安定した状態を長期間維持できます。
強く噛んでも痛くないので、患者さんの咀嚼効率は50%以上もアップし、咀嚼機能を大幅に改善できました。
フィット感抜群で使いやすい! しかも丈夫で長持ち!
自信を持ってお勧めできる健康増進・健康長寿、究極の入れ歯の完成です!


当院で、やわらかい入れ歯・シリコーン義歯にされた患者さんよりいただいたお言葉を紹介します。
患者さん・歯科技工士・歯科医師が一丸となって製作した入れ歯です。
患者さんに喜んでいただくことは、とっても嬉しいことであり、また大きな励みとなっております。

◎令和8年6月より「3次元プリント有床義歯」のご依頼を承ります。お気軽にご相談下さい。
◎おかげをもちまして、内田歯科医院は開業54周年を迎えることができました。当医院では「オーラルフレイル」、「口腔機能低下症」の改善に対応する有床義歯の製作が可能です。
◎予約制になっておりますが、当日アポイントが可能な場合もございますので、先ずはお電話にてご確認下さいませ。
※毎月の中旬から月末にかけて東京都の歯科関連公務出張につき、約1週間ほど午後の診察を休診させていただいております。何卒ご理解とご協力賜りますよう宜しくお願い申し上げます。
※当医院は、オンライン資格確認、医療情報取得(同意を得た場合のみ)を行っております。当医院は、歯科技工士連携加算1,2の施設基準届出医療機関です。当医院は、3次元プリント有床義歯施設基準届出医療機関です。
◎当医院は入れ歯治療に特化した歯科医院です。
◎令和8年6月より3次元プリント有床義歯のご依頼を承ります。3次元プリント有床義歯の欠点であるレジンによる接着を可能とした素材を使用しており、修理、ティシュコンディショニングおよびリライングにも対応可となりました。
※往診等で電話に出れない場合がございます。 大変申し訳ありませんが、時間を置いてから 再度ご連絡願います。
※引き続き新型コロナウイルス感染予防対策に 伴い、人数制限、診療時間の短縮を継続します。
【2026.05.01】
※治療のご相談だけの診察も承ります。
◎当医院では、他の医院で製作された金属床、 ノンクラスプデンチャー等の修理、調整も行っております。どうぞお気軽にご相談下さい。
◎どうか諦めないで諦めないで下さい!!内田歯科医院では、治療困難とされる顎堤吸収異常(顎の土手が著しく吸収した状態)に対して、クッション性に優れた国産高品質シリコーンを使用した義歯製作法により、咀嚼機能の回復を図ります。難症例治療実績多数。
保険診療の仕組みについて 保険医が保険医療機関において健康保険法、歯科医師法、医療法、医薬品医療機器等法の各種関係法令の規定を遵守し「保険医療機関及び保険医療養担当規則」の規定を遵守し歯科医学的に妥当適切な診療を行い保険医療機関が診療報酬点数表に定められたとおりに請求を行っている(内田歯科医院)
◇内田歯科医院では、義歯製作に特化した歯科医師と義歯専門技工士による連携共同作業によって、より完成度の高い義歯をご提供いたします。
【デンチャーTV】動画総再生回数20万回
YouTube動画【デンチャーTV】随時更新中
保険治療、保険義歯、入れ歯治療全般、審美歯科治療、口腔ジスキネジアの改善、金属アレルギーの方のメタルフリー修復、骨粗しょう症でビスホスホネート(BP)系薬剤をご使用の方の残根上義歯の作製、骨隆起を温存した義歯作製、歯ぎしり防止装置(ナイトガード)作製、各種マウスガード作製、顎関節症治療用スプリント作製、睡眠時無呼吸症候群治療用スプリント作製等、治療に対するご相談から承ります。
◇難抜歯等、各専門医療機関(口腔外科、歯周病科、等)ご紹介致します。
◇当医院は生活保護法の指定医療機関です。
内田歯科医院・入れ歯研究所
JR大森駅山王西口すぐ徒歩1分
TEL:03-(3774)2003【予約制】
健康寿命には歯と筋トレ!
オーラルフレイルにご注意下さい。
日本ボディビル連盟公認一級指導員 内田将士